全新研究推進肺癌治療

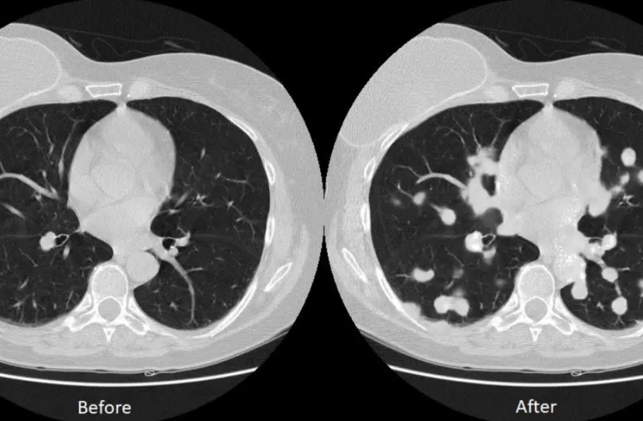
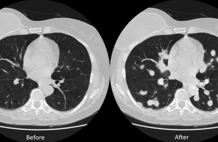
據Medicalxpress上週五報道,莫菲特癌症中心開發了一種分析腫瘤突變並確定治療療程的非侵入性方法,在肺癌的治療方面取得了新的進展。在這種成像方法的幫助下,科學家們能夠精准地地發現異常的葡萄糖代謝,以及準確地描述腫瘤特徵。#以色列新的「非侵入性」癌症治療「靶向並摧毀」 80%的腫瘤細胞
來源:The Jerusalem Post

據Medicalxpress上週五報道,莫菲特癌症中心開發了一種分析腫瘤突變並確定治療療程的非侵入性方法,在肺癌的治療方面取得了新的進展。在這種成像方法的幫助下,科學家們能夠精准地地發現異常的葡萄糖代謝,以及準確地描述腫瘤特徵。#以色列新的「非侵入性」癌症治療「靶向並摧毀」 80%的腫瘤細胞
來源:The Jerusalem Post